The Female G-spot

The female G-spot is a subject that rouses both intrigue and skepticism. Since as far back as the 17th century, there have been heated debates about its existence. And even today, it remains a controversial subject among scientists.
What exactly is the mysterious G-spot? In this article, we will first explain what the female G-spot is and then explore the scientific debate around the G-spot. We will also look at the anatomy of the female reproductive system to identify its exact location. Finally, we will briefly mention other erogenous zones in the female reproductive system called the A-spot and the O-spot.
You might have only heard about the G-spot, or you might already be intimately familiar with it. Regardless, getting to know more about your own or your partner's G-spot can be interesting – and beneficial for your sex life! And so – let's dive into the topic of the female G-spot to reveal some of its secrets!
What is the G-spot?
The G-spot is one of the female pleasure zones (or erogenous zones) found in the vagina. Males have their own “G-spot” as well (but that is a story for another blog). The female G-spot is a zone that is highly sensitive to touch, and it can lead to intense sexual arousal and powerful orgasms when stimulated.
The G-spot is, in fact, named after a man. In the 1940s, Ernst Gräfenberg, a German gynecologist, described this highly sensitive area in the vaginal wall. He concluded that it induces an intense orgasmic reaction and causes the release of the ejaculate when stimulated. This area became known as the Gräfenberg spot, or, in short – the G-spot.
However, this area was first described already in the 17th century by a Dutch physician Regnier de Graaf. From there, the scientific search for the G-spot began. And while the amount of research has been considerable, the debate about the female G-spot and its anatomical existence, structure, and location is still ongoing.
Where is the G-spot located?
The pleasure zone that we know as the G-spot is located in one of the inner female reproductive organs - the vagina. The exact position is around 5 to 8 centimeters (2 to 3 inches) deep in the vagina in the front vaginal wall (facing the belly).
In anatomical terms, it is located in the distal part of the anterior vaginal wall, approximately at the mid-length of the urethra, which lies beneath the vaginal wall.
Remember that the G-spot's exact location can vary from woman to woman. Although there are common characteristics in the female reproductive organ anatomy, many nuances, including the G-spot location, can be unique. Also, not all women seem to have the G-spot or react to stimulation of this area.

External female reproductive organs and the vagina with the approximate location of the G-spot marked in the anterior vaginal wall.
Is the G-spot real?
Several surveys have asked women about their knowledge of their own G-spot, its location, and sexual responses to its stimulation. These reveal that the G-spot is indeed real in the women's perspectives.
Approximately 35 to 60% of the female population confirm having a G-spot admitting its separate role in inducing an orgasm, particularly during vaginal penetration.
For a long time, researchers explained it as a purely physiological phenomenon – a response in the female body of a sexual nature with no anatomical basis. However, for many scientists, this was not a satisfying explanation. Why? Because there is the belief that no physiological phenomena exist without an anatomical basis.
A nerve ganglion in the G-spot area
If we share this view, we should be looking for something peculiar within the distal-anterior vaginal wall. It wasn't until the last two decades that evidence of an actual anatomical structure behind the G-spot came to light.
Yet now we know! When looking through a microscope, we can indeed identify the nerve ganglion in the place where the G-spot is supposed to be (more about this in the Women's G-spot anatomy section below).
A recent article published in Clinical Anatomy looked at collected clinical data from several previous studies and concluded that there is, in fact, enough reliable evidence to support that a specific anatomical G-spot structure exists.
Yet, another such systematic review of clinical data in the latest issue of Sexual Medicine concludes that there is no agreement about G-spot's structure, location, or nature among scientists. Even though many scientists agree about the fact of its existence, it remains unproven.
Researchers say the G-spot may not exist
And yes, many women, indeed, have never experienced vaginal orgasms or claim that they cannot reach an orgasm through penetration alone (without stimulation of the clitoris, for example).
This leads a portion of researchers to doubt the anatomical existence of the G-spot. In 2012, authors of a study published in the Journal of Sexual Medicine systematically went through 60 years of research on the G-spot anatomy. They concluded that there is not enough objective data to prove that the G-spot exists.
Some researchers claim that vaginal orgasms, in contrast to clitoral orgasms, do not exist at all – that all female orgasms are alike. They say that the G-spot does not have a specific anatomical structure – it is, instead, a part of the internal clitoral structure. Thus it can not induce a unique orgasmic experience.
Other authors have even invited us to think about the vagina, clitoris, and urethra as one complex structure – intimately linked in inducing sexual arousal and orgasmic reaction.
No consensus about the G-spot
To sum all this up, for now, we can only conclude that there is still no definitive answer, whether the G-spot is real. It is clear, however, that there is something special about this area.
While many women are convinced about its realness, quite a lot of women also do not appear to have a G-spot or do not perceive its stimulation as a pleasurable experience. And it is understandable, as bodies, reactions, and perceived experiences are unique for each individual.
Women's G-spot anatomy
Putting all the skepticism about the existence of the G-spot aside for a minute, let's look at the actual claims about women's G-spot anatomy different scientists have made over time.
Macroscopic research of the G-spot
Some researchers have claimed that the area in the anterior vaginal wall known as the G-spot has a sponge-like structure that contains erectile tissue (tissue that can swell up). And that it feels upon touch as a different texture, not like the rest of the vaginal wall.
However, scientists have not identified erectile tissue in this area. A critical study looked at preparations of the anterior vaginal wall from several female cadavers.
It concluded that there is no macroscopically identifiable G-spot. Moreover, the anatomical structure of the area shows no peculiarities. It seems to be a usual fragment of the vaginal wall, except for the urethra lying closely in front of this area, changing its appearance.
In response to these findings, some other researchers have claimed the opposite – that observable signs in these specimens visibly mark the location of the G-spot, although not all of it is visible in the images. The macroscopic findings are not conclusive. As it often is with the human body, we should look deeper for answers.
Microscopic evidence about the G-spot
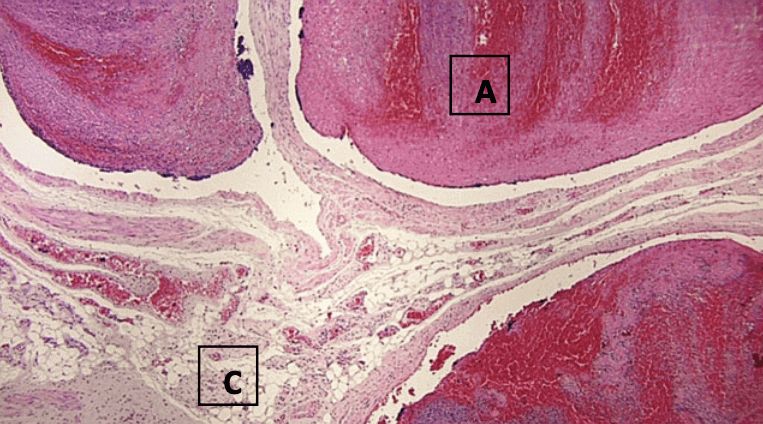
What happens when we examine this area through a microscope? We find nerve bundles and a nerve ganglion – a collection of nerve cell bodies – beneath the mucosa lining the distal-anterior vaginal wall (where the G-spot is supposed to be).

Histological image of tissue in the area known as the G-spot (magnification x 200): A - a thrombosed blood vessel, C - nerve bundles housed within fibroadipose tissue.
What is the function of nerve ganglia? In simple terms, it is to carry information from one area to another with the help of nerve fibers extending from its neurons.
This particular nerve ganglion transfers the information received at the nerve endings distributed along the vaginal wall to the central nervous system. That ultimately induces a physiological response to create the pleasurable experience of G-spot stimulation.
Some authors describe a dense collection of nerve endings found in the mucosa where the G-spot is supposed to be. However, this claim has not been backed by reliable scientific evidence.
Other pleasure zones: A-spot and O-spot
Supposedly, there are other highly sensitive, less known pleasure zones within the vagina besides the G-spot. We're talking about the A-spot and the O-spot.
A-spot
Not far from the G-spot, there is another area deep in the vagina that could be the right button to push for a satisfying experience. It's called the A-spot, and it lies approximately one or two inches above the G-spot, and below the bladder.
In anatomical terms, this erogenous zone is known as the anterior fornix zone. Its exact location can vary because it depends on the internal clitoral structure, which can differ from woman to woman.
You could find the A-spot the same way you would reach for the G-spot, only a bit deeper as it lies just before the cervix. The A-spot doesn't have a distinct texture, unlike the G-spot, which you can feel upon touch because of the urethra closely in front of it.
The stimulation of the area known as the A-spot has been reported to increase pleasure, stimulate lubrication, and increase the chance for a woman to reach an orgasm. Although not a lot of women have reported having this pleasure zone - only around 10%, according to this study on female orgasms conducted by researchers at Istanbul University.
O-spot
Reaching on the opposite side, in the posterior vaginal wall – back side of the vagina, in front of the rectum – you can find an area called the O-spot. Anatomically, it is located approximately 1 to 2 inches below the posterior fornix. It has been described to have a spongy texture.
However, this zone is even more mythical than the G-spot and even A-spot. There is not nearly enough scientific evidence to back its existence. And the previously mentioned study on orgasms reported that only 8% of the surveyed women were aware of a highly sensitive area in this part of their bodies.
Conclusion
- The G-spot is one of the most known and also most controversial female erogenous zones. It is an area in the front wall of the vagina, which, when stimulated, brings sexual pleasure and may lead to intense orgasms.
- Researchers have studied the anatomical existence of the G-spot for centuries. Yet, it is still an ongoing debate in the scientific community whether there is a specific anatomical structure behind the pleasure zone known as the G-spot. Even its exact location and role in the female orgasm is still up for debate.
- Although macroscopic findings in this area are inconclusive, strong histological evidence backs G-spot's existence. A specific nerve structure – a nerve ganglion – is housed within the tissue of the anterior vaginal wall where the G-spot is supposed to be.
- Besides the G-spot, other vaginal erogenous zones (like the A-spot and O-spot) have gained some interest in popular culture. However, these zones are even more mythical, and their existence is not backed by sufficient scientific evidence.
- Subjectively, many women admit undergoing satisfying sexual experiences when their G-spot (or another erogenous zone) gets stimulated. Meanwhile, many others are not aware of such pleasure zones, or they just don't find the experience pleasurable.
In the end, no matter how much research we do and whether we conclude that the G-spot is real or not, it is clear that it is not a magic button that will work for every woman. Besides, there are so many more erogenous zones to appreciate. Ultimately, the search for sexual pleasure zones is an intimate process. Only you can create the unique recipe for a healthy and enjoyable sex life that works for you – through sexual exploration and by getting to know your own body.